Pleomorphic fibroma

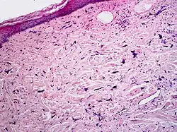
Micrograph of pleomorphic fibroma. Cell-depleted, fibrous connective tissue with atypical fibroblasts

Pleomorphic fibromas of the skin usually present in adults, with a slight preponderance in women.[1]

See also

References

  1. ^ Rapini, Ronald P.; Bolognia, Jean L.; Jorizzo, Joseph L. (2007). Dermatology: 2-Volume Set. St. Louis: Mosby. ISBN 978-1-4160-2999-1.