Perifollicular fibroma

Perifollicular fibroma
Perifollicular fibroma
SpecialtyDermatology

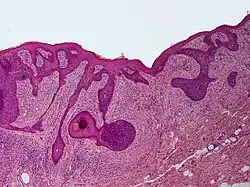
Perifollicular fibroma is a cutaneous condition, a benign tumor usually skin colored, most often affecting the face and upper trunk.[1]: 674 [2]

See also

References

  1. ^ James, William D.; Berger, Timothy G.; et al. (2006). Andrews' Diseases of the Skin: Clinical Dermatology. Saunders Elsevier. ISBN 0-7216-2921-0.
  2. ^ Rapini, Ronald P.; Bolognia, Jean L.; Jorizzo, Joseph L. (2007). Dermatology: 2-Volume Set. St. Louis: Mosby. ISBN 1-4160-2999-0.