Nerve compression syndrome

Nerve compression syndrome
Other namesEntrapment neuropathy
Radial nerve compression is an example of nerve compression syndrome
SpecialtyNeurology, neurosurgery, orthopedic surgery, plastic surgery, Gynaecology
Symptomspain, tingling, dull ache, numbness, shooting pain, muscle weakness
Diagnostic methodclinical exam, diagnostic blocks, imaging, and electrophysiology testing

Nerve compression syndrome, or compression neuropathy, or nerve entrapment syndrome, is a medical condition caused by chronic, direct pressure on a peripheral nerve.[1] It is known colloquially as a trapped nerve, though this may also refer to nerve root compression (by a herniated disc, for example). Its symptoms include pain, tingling, numbness and muscle weakness. The symptoms affect just one particular part of the body, depending on which nerve is affected. The diagnosis is largely clinical and can be confirmed with diagnostic nerve blocks. Occasionally imaging and electrophysiology studies aid in the diagnosis. Timely diagnosis is important as untreated chronic nerve compression may cause permanent damage. A surgical nerve decompression can relieve pressure on the nerve but cannot always reverse the physiological changes that occurred before treatment. Nerve injury by a single episode of physical trauma is in one sense an acute compression neuropathy but is not usually included under this heading, as chronic compression takes a unique pathophysiological course.

Signs and symptoms

Symptoms vary depending on whether the affected nerve contains motor and/or sensory fibers. Sensory nerve entrapment presents with paresthesias. These paresthesias may be painful, such as shooting pain, burning, or a dull ache. They may also be pain-free, such as numbness or tingling. Motor nerve entrapment may present with muscle weakness or paralysis for voluntary movements of the innervated muscles. Entrapment of certain pelvic nerves can cause incontinence and/or sexual dysfunction.[2] Positive sensory symptoms are usually the earliest to occur, particularly tingling and neuropathic pain, followed or accompanied by reduced sensation or complete numbness. Muscle weakness and muscle atrophy may only be present if the entrapped nerve has motor fibers (some nerves are only sensory). Weakness and atrophy is a much less common symptom and usually associated with later stages of nerve entrapment if it is present at all.[3][4][5][6]

The distribution of symptoms is highly specific to the nerve entrapped and the way the nerve courses and branches beyond the entrapment point. The sciatic and pudendal nerves, for example, have documented, common anatomic variations.[7][8] For a given entrapment neuropathy, symptoms will only present in the areas innervated by that nerve and distal to the entrapment point. The symptom distribution is highly dependent on a patient's neuroanatomy, which may mean that two patients can present differently despite having the same nerve entrapped.[9][10]

The timing/duration of symptoms may be continuous, intermittent, and/or positional. This is dependent on the underlying cause of entrapment and the specific nerves involved. For example, pain while sitting is associated with inferior cluneal nerve entrapment, pudendal nerve entrapment, and anococcyeal nerve entrapment.[11][12][13]

Causes

Certain occupations, postures, and activities can put prolonged pressure on a nerve. The term "Saturday night palsy" is used for a radial nerve injury caused by prolonged compression of the nerve at the spiral groove. The origin of the term is due to the association of the condition with a night spent in alcoholic stupor with the arm draped over a chair or bench. Mechanical compression of the radial nerve in the spiral groove can also occur as a result of the continuous use of crutches or prolonged kneeling in a "shooting" position.[14] The so-called "cyclist palsy" is caused by prolonged grip pressures on handlebars, and has been postulated to be an entrapment neuropathy of the ulnar nerve in the Guyon canal of the wrist.[15] Occupational exposure to forceful handgrip work and vibration, such as construction workers, increased the risk for surgical treatment of radial nerve entrapment.[16] Posture induced common peroneal nerve (CPN) palsy is usually produced during the prolonged squatting or habitual leg crossing while seated, especially in Asian culture and is manifested by the onset of foot drop.[17] One sport-related cause of lateral femoral cutaneous nerve entrapment is seen in scuba divers where the weight belt worn around the waist directly compresses the nerve.[18] Prolonged periods of cycling can be associated with pudendal nerve entrapment, as there is often direct compression on the pudendal nerve between the nose of the bicycle seat and pubic bone.[19] Tight fitting goggles can put pressure on the supraorbital nerve, also known as "swimmer's headache".[20] Tight fitting handcuffs can compress the superficial branch of the radial nerve, known by several names such as Cheiralgia paresthetica, Wartenberg's syndrome, and handcuff neuropathy.[21] The use of a thick wallet in the rear pocket can compress the sciatic nerve when sitting.[22]

Nerve compression can be secondary to other medical conditions. Entrapment neuropathies are remarkably common in diabetes.[23] A well defined lesion such as a tumor, hypertrophic muscle, cyst, hernia, hematoma, etc. can increase pressure on surrounding soft tissue, including nerves. Alternatively, there may be expansion of the tissues around a nerve in a space where there is little room for this to occur, as is often the case in carpal tunnel syndrome. This may be due to weight gain or peripheral oedema (especially in pregnancy), or to a specific condition such as acromegaly, hypothyroidism or scleroderma and psoriasis. Abnormal biomechanics can be associated with nerve compression. Ischiofemoral impingement (where the femur and ischium come too close together) can squeeze the sciatic nerve.[18][24]

Entrapment can be caused by injuries. Surgical injuries can cause entrapment by the development of scar tissue around the nerve as well as the decreased ability of the nerve to glide, increasing strain during movements. Radial nerve entrapment is seen after fracture manipulation when the nerve is unknowingly entrapped between bone and an installed plate, compressed by a bone fragment or if excessive nailing of the bone occurs.[25] Accidents are also associated with nerve entrapment as swelling puts pressure on the nerve and the development of scar tissue nearby may provide a hard surface for the nerve to be squeezed against, such as pudendal neuralgia in cyclists where repetitive trauma creates fibrotic entrapment of the pudendal nerve.[26]

Surgical and anatomic research has shed some light on the proximate causes of entrapment. There are anatomical regions in which segments of peripheral nerves are vulnerable or predisposed to become trapped and suffer from chronic compression. Neural compression occurs especially in osteofibrous tunnels but may also occur at points of passage of the peripheral nerve through the muscles or near a band of fibrous tissue.[27] In sciatic nerve decompression study, compromising structures were piriformis muscle, fibrovascular bundles, and adhesion with scar tissues.[28] In another endoscopic neurolysis study, the presence of fibrovascular bands and bursal tissue was the most common cause, followed by musculotendinous structures.[29]

Genetics may play a role in creating the necessary conditions for entrapment to occur. Previously, physicians thought repetitive wrist and hand motions were the only cause of carpal tunnel syndrome, especially in frequent computer users. But now doctors understand that the syndrome is probably a congenital predisposition in that some individuals have bigger carpal tunnels as compared to others.[30] Gene variants associated with musculoskeletal growth and extracellular matrix architecture have been implicated in carpal tunnel syndrome.[31] A rarer genetic cause is HNPP.

Pathophysiology

Acute and chronic compression of a nerve in a given area can lead to a cascade of physiological changes resulting in impaired function and then anatomical changes in the later stages.[5] Specifically, increased pressure on a nerve compresses the neural microvasculature and alters the blood flow dynamics.[32] Experimental studies suggest a dose response curve such that the greater the duration and amount of pressure, the more significant is neural dysfunction.[33] Prolonged ischaemia and mechanical compromise may induce downstream effects such as inflammation, demyelination, scarring, and eventually axon degeneration. Neuroinflammation sensitizes injured and uninjured axons and nociceptors in target tissue, contributing to neuropathic pain initiation and maintenance. Focal demyelination is a hallmark of entrapment neuropathies, which are often characterized by nerve conduction slowing or block.[34] The initial changes are a break-down in the blood nerve barrier, followed by sub-perineurial edema and fibrosis; localized, then diffuse, demyelination occurs, and finally Wallerian degeneration.[33]

Diagnosis

Clinical diagnosis

Clinical diagnosis can often identify compression neuropathy on signs and symptoms alone. While there are variations in how nerves course and branch, the anatomical territory of major nerves do not change from patient to patient. Some forms of nerve entrapment can have characteristic symptoms, such as sitting and pudendal pain. Pudendal neuralgia, for example, is diagnosed by the Nantes criteria with four out of five criteria being clinical.[35]

Diagnostic nerve blocks

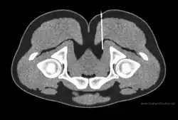
Illustration of imaging from a CT-guided nerve block. The needle tip has been placed at the top of the pudendal canal to block the pudendal nerve.

Diagnostic nerve blocks are very effective for identifying sensory entrapment points. Their strength is that they can directly measure whether a given nerve is contributing pain, or not. They are precise and reproducible.[36] As successful blocks require accurate targeting of the nerve, this is done under image guidance such as fluoroscopy, ultrasound,[37] CT,[37] or MRI.[38] Ultrasound is popular choice because of its soft-tissue contrast, portability, lack of radiation, and low cost, but is not good at depicting deeper structures like the deep pelvic nerves. For deeper structures, CT and MRI are more appropriate, although the equipment is more expensive.[39][40][41][37][38]

The challenge with diagnostic blocks is that there is often not good information to indicate exactly where the entrapment point may be. For example, symptoms may be poorly localized,[42] and the symptoms may be imprecise.[43] Consequently, multiple blocks may need to be performed on different nerves to find the correct one. A successful diagnostic block will lead to immediate and significant resolution of symptoms up to complete pain relief.[43][44] The duration of the block will last several hours depending on the anesthetic used.[45]

Imaging studies

MR and ultrasound can be used for peripheral nerve imaging.[46] Ultrasound is common for superficial nerves of the upper extremity such as carpal tunnel syndrome.[47] MR imaging is not always reliable in that often the clinical assessment and imaging do not match for peripheral neuropathies.[48] That is, there are false positives and false negatives which bring into question how reliable these scans are for diagnosis and surgical planning. There are known limitations of MR for the identification of nerve entrapment:

  1. Resolution limitations: Small nerves are fairly resistant to imaging and even structures like the sacrococcygeal plexus can't be seen with MR tractography.
  2. Dynamic nature of entrapment: Nerve entrapment can be dynamic where the symptoms can only be elicited with certain movements. MR imaging is done while the patient is lying still and may not be able to reproduce the conditions of entrapment.
  3. Focus on structural abnormalities: Nerve entrapment can sometimes result from problems that don't cause visual changes, such as inflammation or the tightness of surrounding tissues.
  4. Positional limitations: MRIs are done with the patient lying down. The geometry of the machine does not provide room for the patient to sit or stand during the scan where the symptoms may be reproducible. While sitting and standing MRIs exist, the resolution provided is significantly lower (0.6T vs 3.0T).
  5. Poor visibility of entrapping tissue types: MR visualizes soft tissue according to water content. Tissue types with low water content such as fibrotic tissue are resistant to imaging and yet may be highly clinically significant.

Despite these limitations, MR imaging studies can rule out certain causes of entrapment such as a mass lesion. Increasingly used are specialized forms of MRI such as MR neurography[49] (MRN) and MR tractography (MRT). Of the two MRT is more effective as it has a high correlation with intraoperative findings.[50]

Electrophysiology studies

The main electrophysiological studies are the nerve conduction study (NCS) and electromyography (EMG). The benefit of nerve conduction studies has not been proven beyond distal entrapment neuropathies (carpal tunnel syndrome and cubital tunnel syndrome).[51] An EMG is limited to just providing information on motor nerves, and provides limited information on the location, extent, and etiology of nerve injury. Electrophysiology is not very useful in pelvic sensory neuropathies or for interrogation of the deep pelvic nerves.[49]

The major limitation of extra-operative electrophysiology studies is that they do not have direct access to the nerve. In contrast, intra-operative electrophysiology studies can be done with direct access to the nerve, and this is a useful tool for nerve decompression surgery. During surgery the studies can be used to identify which nerves innervate given myotomes, identify which blood vessels are essential for a nerve, and to compare nerve conduction before and after decompression.[52][53]

Treatment

When an underlying medical condition is causing the neuropathy, treatment should first be directed at this condition. Several systemic conditions have been implicated in the development of nerve compression syndromes, including diabetes, thyroid disease, heavy alcohol use, generalized edema, and systemic inflammatory disease.[32] There is substantial evidence to support an association between certain work activities and carpal tunnel syndrome that involve repetitive motion.[54] Certain recreational activities such as bicycling are associated with pudendal neuralgia due to increased pressure on Alcock's canal.[55]

Non-surgical treatments includes rest and activity modification, physical therapy, ergonomic modifications, pain management, and steroid blocks. About 50% of the time, symptoms will improve with only conservative measures.[56][57] Opioids can provide short-term pain relief in highly selected patients.[58] Steroid blocks can have a short-term benefit but have not shown to have long-term therapeutic benefit.[59][60]

In select cases botox injections may also be an effective option, such as piriformis syndrome or migraines.[61][62][63] The effectiveness of botox injections is predicated on muscular entrapment such that atrophying a muscle reduces pressure on a nerve.

The decision to proceed with surgical interventions is a matter of when the severity of subjective symptoms outweighs the potential risks and complications. With muscle wasting or electromyographic evidence of denervation, timely surgical decompression is clearly indicated.[32]

Nerve decompression

Nerve decompressions aim to surgically access and explore some segment of nerve, removing any tissue that may be causing compression. In this way a nerve decompression can directly address the underlying cause of entrapment. A nerve decompression can either be done by open surgery or laparoscopic surgery. In some cases, like carpal tunnel syndrome, either approach is viable.[64] For deeper nerves, a laparoscopic approach is the only choice. New laparoscopic techniques allow surgeons to get access to previously unreachable pelvic structures such as the sacral plexus.[26] Nerve decompressions and resections are the only treatments with a known cure rate. It is a common clinical experience, that even chronic entrapments with longstanding muscle weakness and sensory disturbances sometimes show a very rapid reversibility of some or all of the symptoms after surgical decompression of the nerve.[5]

A large number of nerve decompression surgeries achieve 25+% cure rate, and 75+% success rate.[65][66][67][68] It is not known why separate surgeries would have similar outcomes.

Nerve resection

Nerve resections aim to eliminate the dermatome entirely along with any positive sensory symptoms such as pain. While nerve decompression may be used on any nerve, nerve resection should only be used on purely sensory nerves when the loss of sensation is acceptable. The superior cluneal nerves, middle cluneal nerves, posterior femoral cutaneous nerve, lateral femoral cutaneous nerve are all sensory and resection may simply be a more "complete" option, as nerve decompressions can't explore every part of the nerve and may miss some entrapment points. Outcomes for nerve resection is similar to nerve decompression.[69][70] One disadvantage of nerve resections is that traumatic injury to the nerve is unavoidable, and a neuroma may form at the point of resection. There are surgical approaches to prevent neuroma formation[71] such as targeted muscle reinnervation[72] which have shown very good results, however the risk of neuroma formation is not completely eliminated.

Neuromodulation

Other surgical treatments include general neuromodulation treatments. Neuromodulation is symptomatic treatment and does not attempt to address the root cause of compression, but rather to alter the signals sent along the nerves to the brain. It can be a suitable choice when the source of compression has been removed, but the positive sensory symptoms such as pain aren't fully resolved. If neuromodulation is used without removing the source of compression, tissue injury might progress leading to worse outcomes when the source of compression is eventually removed. Better known neuromodulation treatments include the spinal cord stimulator and the intrathecal catheter. The disadvantage of these treatments is that they are not targeted for peripheral nerves (implantation is typically in the spinal cord), can only address sensory symptoms, can expose unrelated nerves to injury during implantation if placed in the spine, and have a high failure rate due to device migration. The spinal cord stimulator in particular has a very high complication rate, as high as 40%.[73] Advancements have been made to move these devices closer to peripheral nerves such as peripheral nerve stimulation[74] and the peripheral nerve catheter.[75] A challenge with these new treatment is that peripheral nerves are highly mobile, and it is difficult to fix a wire (called an electrical lead) or tube to something that's constantly moving, and it may migrate after implantation. For example, lead migration is a common long-term complication of both spinal cord stimulators and peripheral nerve stimulators.[73][76]

Epidemiology

The prevalence of nerve entrapment is not known, however a rough bound can be determined by data on lower and upper estimates. A lower bound is the prevalence of the most common entrapment neuropathy, carpal tunnel syndrome (CTS).[77] The prevalence is measured by sending screen questionnaires to a large random sample of a population, and giving the positive cases a full clinical and electrophysiological investigation. Studies in Sweden, Egypt, and the US have found the same general prevalence for CTS, of between 3.3–3.8%.[78][79][80] An upper bound is the prevalence of chronic pain with neuropathic characteristics. Not all neuropathic pain is nerve entrapment, but all nerve entrapment will cause neuropathic symptoms. The most reliable studies have an estimated prevalence of between 6.9–10%.[81]

History

The treatment of each peripheral nerve entrapment has its own history, making any single narrative incomplete.[82]

Theories on the causes of neuropathic pain have been closely intertwined with surgical research in a feedback loop. Theories of neuropathic pain would inform surgical experimentation, and surgical experimentation would lead to observations or discoveries from which new or modified theories would be developed. By the early 20th century the concept of mononeuropathies due to nerve lesions would be discussed (often called nerve palsy, neuropathy, or neuritis), however causes were still debated.[83][84] One especially poorly understood form of neuropathy was a delayed onset nerve palsy, called tardy nerve palsy.[85] While some cases of tardy nerve palsy could be ascribed to obvious causes such a structural lesion (e.g. broken wrist) or tumors causing compression, many cases of tardy nerve palsy had no clear cause and so were deemed idiopathic (also called spontaneous compression).[86] Various surgical observations led to the theory that the median nerve could be compressed spontaneously under the transverse ligament of the wrist, an area that would later be known as the carpal tunnel in carpal tunnel syndrome.[86] This theory was supported by surgical observations and successfully treated case studies.[86] The development of carpal tunnel syndrome was of particular interest for other idiopathic tardy nerve palsies. Carpal tunnel served as a model for how nerves could be squeezed by narrow anatomic compartments and soon other tunnel syndromes were conceptualized, such as cubital tunnel syndrome, and tarsal tunnel syndrome.[87][88][83]

  • 1764: Domenico Cotugno describes sciatica as a disease of nervous origin.[89]
  • 1881: Lasegue's sign is described for the diagnosis of sciatica.[90]
  • 1916: Tardy nerve palsy is described in ulnar nerve.[91]
  • 1934: Theory that a spinal disc pressing on the spinal cord can cause sciatica is introduced.[92]
  • 1987: Pudendal neuralgia is described.[98]
  • 1988: Hypothesis that the majority of diabetic peripheral neuropathy symptoms due to multiple nerve entrapments.[99]
  • 2015: Deep gluteal syndrome is introduced to describe sciatic nerve entrapment in the gluteal space.[36][43] Neuropelveology is introduced to apply concepts from nerve entrapment to chronic pelvic pain.[104]

Society and culture

Controversy

Nerve compression syndromes and their surgical treatment has caused controversy across various medical specialties.

In some cases, critics have disputed whether specific pain syndromes (which are now considered nerve compression syndromes) are real clinical entities, especially if the pathophysiology is not well understood.[105][106] Even when there is agreement that a syndrome exists, there are disputes over the validity of diagnostic criteria as many nerve compression syndromes are partially a diagnosis of exclusion.[107][108][109] There has been skepticism over whether these syndromes can be said to really be nerve entrapment, as the diagnosis may be clinical which doesn't necessarily prove nerve compression.[106]

Proponents have alleged that the success of treating a large percent of previously untreatable patients with therapies designed to relieve nerve compression validates the thesis of nerve entrapment.[108][44] They have noted that nerve compressions are seen in many other nerves, and that we should expect to see some number of patients with entrapments of any given peripheral nerve.[110] Some proponents have noted that failing to mention these syndromes as a real diagnosis is a disservice to the many patients who could benefit from its correct treatment every year.[44]

Syndromes

nerve location usually referred to as
supraorbital nerve supraorbital notch[111] migraine / frontal headache
trigeminal nerve nerve root trigeminal neuralgia
greater occipital nerve
lesser occipital nerve
third occipital nerve
occipital notch occipital neuralgia
glossopharyngeal nerve nerve root glossopharyngeal neuralgia

Upper limb

nerve location usually referred to as
Brachial plexus thoracic outlet neurogenic thoracic outlet syndrome
Median carpal tunnel carpal tunnel syndrome
Median (anterior interosseous) proximal forearm anterior interosseous syndrome
Median pronator teres pronator teres syndrome
Median ligament of Struthers Ligament of Struthers syndrome
Ulnar cubital tunnel Cubital tunnel syndrome
Ulnar Guyon's canal Guyon's canal syndrome
Radial axilla Radial nerve compression
Radial spiral groove Radial nerve compression
Radial (Posterior interosseous) proximal forearm posterior interosseous nerve entrapment
Radial (Superficial radial) distal forearm Wartenberg's Syndrome
Suprascapular Suprascapular canal suprascapular nerve entrapment

Lower limb, abdomen and pelvis

nerve location usually referred to as
Common peroneal fibular neck peroneal nerve compression
Tibial tarsal tunnel tarsal tunnel syndrome
Saphenous Roof of Adductor canal Saphenous nerve entrapment syndrome
Lateral cutaneous nerve of thigh inguinal ligament meralgia paraesthetica
Sciatic piriformis piriformis syndrome
Sciatic gluteal space deep gluteal syndrome[112]
Iliohypogastric lower abdomen iliohypogastric nerve entrapment
Obturator obturator canal obturator nerve entrapment
Pudendal Alcock's canal pudendal nerve entrapment
Pudendal sacrospinous ligament pudendal nerve entrapment
anterior intercoastal nerves lateral rectus abdominis muscle anterior cutaneous nerve entrapment syndrome (ACNES)
posterior femoral cutaneous gluteal space posterior femoral cutaneous nerve entrapment
middle cluneal posterior sacroiliac ligament middle cluneal nerve entrapment (MCN-E)
sacral plexus (s1-s4) pelvis sacral plexus entrapment or lumbosacral plexus entrapment
superior cluneal posterior iliac crest super cluneal nerve entrapment (SCN-E)

See also

References

  1. ^ Nerve Entrapment Syndromes: Background, History of the Procedure, Problem at eMedicine
  2. ^ Aoun F, Alkassis M, Tayeh GA, Chebel JA, Semaan A, Sarkis J, Mansour R, Mjaess G, Albisinni S, Absil F, Bollens R, Roumeguère T (June 2021). "Sexual dysfunction due to pudendal neuralgia: a systematic review". Transl Androl Urol. 10 (6): 2500–11. doi:10.21037/tau-21-13. PMC 8261452. PMID 34295736.
  3. ^ Rodríguez-Merchán EC, Moracia-Ochagavía I (December 2021). "Tarsal tunnel syndrome: current rationale, indications and results". EFORT Open Rev. 6 (12): 1140–1147. doi:10.1302/2058-5241.6.210031. PMC 8693231. PMID 35839088.
  4. ^ Park JW, Lee YK, Lee YJ, Shin S, Kang Y, Koo KH (May 2020). "Deep gluteal syndrome as a cause of posterior hip pain and sciatica-like pain". Bone Joint J. 102-B (5): 556–567. doi:10.1302/0301-620X.102B5.BJJ-2019-1212.R1. PMID 32349600.
  5. ^ a b c Thatte MR, Mansukhani KA (May 2011). "Compressive neuropathy in the upper limb". Indian J Plast Surg. 44 (2): 283–97. doi:10.4103/0970-0358.85350. PMC 3193641. PMID 22022039.
  6. ^ Joshi A, Patel K, Mohamed A, Oak S, Zhang MH, Hsiung H, Zhang A, Patel UK (July 2022). "Carpal Tunnel Syndrome: Pathophysiology and Comprehensive Guidelines for Clinical Evaluation and Treatment". Cureus. 14 (7): e27053. doi:10.7759/cureus.27053. PMC 9389835. PMID 36000134.
  7. ^ Poutoglidou F, Piagkou M, Totlis T, Tzika M, Natsis K (November 2020). "Sciatic Nerve Variants and the Piriformis Muscle: A Systematic Review and Meta-Analysis". Cureus. 12 (11): e11531. doi:10.7759/cureus.11531. PMC 7746330. PMID 33354475.
  8. ^ Mahakkanukrauh P, Surin P, Vaidhayakarn P (April 2005). "Anatomical study of the pudendal nerve adjacent to the sacrospinous ligament". Clin Anat. 18 (3): 200–5. doi:10.1002/ca.20084. PMID 15768420.
  9. ^ "Low back pain". www.who.int. Retrieved 2024-07-13.
  10. ^ Marchettini, P.; Lacerenza, M.; Mauri, E.; Marangoni, C. (2006). "Painful Peripheral Neuropathies". Current Neuropharmacology. 4 (3): 175–181. doi:10.2174/157015906778019536. PMC 2430688. PMID 18615140.
  11. ^ Alimehmeti RH, Schuenke MD, Dellon AL (January 2022). "Anococcygeal Nerve and Sitting Pain: Differential Diagnosis and Treatment Results". Ann Plast Surg. 88 (1): 79–83. doi:10.1097/SAP.0000000000002920. PMID 34670963.
  12. ^ Dellon AL (September 2015). "Pain with sitting related to injury of the posterior femoral cutaneous nerve". Microsurgery. 35 (6): 463–8. doi:10.1002/micr.22422. PMID 25917688.
  13. ^ Kaur J, Leslie SW, Singh P (2023). Pudendal Nerve Entrapment Syndrome. StatPearls [Internet]. Treasure Island (FL): StatPearls Publishing. PMID 31334992. NBK544272.
  14. ^ Latef TJ, Bilal M, Vetter M, Iwanaga J, Oskouian RJ, Tubbs RS (February 2018). "Injury of the Radial Nerve in the Arm: A Review". Cureus. 10 (2): e2199. doi:10.7759/cureus.2199. PMC 5902095. PMID 29666777.
  15. ^ Akuthota V, Plastaras C, Lindberg K, Tobey J, Press J, Garvan C (August 2005). "The effect of long-distance bicycling on ulnar and median nerves: an electrophysiologic evaluation of cyclist palsy". Am J Sports Med. 33 (8): 1224–30. doi:10.1177/0363546505275131. PMID 16000656.
  16. ^ Jackson JA, Olsson D, Burdorf A, Punnett L, Järvholm B, Wahlström J (May 2019). "Occupational biomechanical risk factors for radial nerve entrapment in a 13-year prospective study among male construction workers". Occup Environ Med. 76 (5): 326–331. doi:10.1136/oemed-2018-105311. PMC 6581089. PMID 30850390.
  17. ^ Yu JK, Yang JS, Kang SH, Cho YJ (May 2013). "Clinical characteristics of peroneal nerve palsy by posture". J Korean Neurosurg Soc. 53 (5): 269–73. doi:10.3340/jkns.2013.53.5.269. PMC 3730027. PMID 23908699.
  18. ^ a b Martin R, Martin HD, Kivlan BR (December 2017). "Nerve entrapment in the hip region: Current Concepts Review". Int J Sports Phys Ther. 12 (7): 1163–73. doi:10.26603/ijspt20171163. PMC 5717491. PMID 29234567.
  19. ^ Kennedy J (February 2008). "Neurologic injuries in cycling and bike riding". Neurol Clin. 26 (1): 271–9, xi–xii. doi:10.1016/j.ncl.2007.11.001. PMID 18295095.
  20. ^ O'Brien JC (October 2004). "Swimmer's headache, or supraorbital neuralgia". Proc (Bayl Univ Med Cent). 17 (4): 418–9. doi:10.1080/08998280.2004.11928006. PMC 1200682. PMID 16200130.
  21. ^ Grant AC, Cook AA (June 2000). "A prospective study of handcuff neuropathies". Muscle Nerve. 23 (6): 933–8. doi:10.1002/(sici)1097-4598(200006)23:6<933::aid-mus14>3.0.co;2-g. PMID 10842271.
  22. ^ Siddiq MA, Jahan I, Masihuzzaman S (2018). "Wallet Neuritis — An Example of Peripheral Sensitization". Curr Rheumatol Rev. 14 (3): 279–283. doi:10.2174/1573397113666170310100851. PMC 6204659. PMID 28294069.
  23. ^ Rota E, Morelli N (September 2016). "Entrapment neuropathies in diabetes mellitus". World J Diabetes. 7 (17): 342–53. doi:10.4239/wjd.v7.i17.342. PMC 5027001. PMID 27660694.
  24. ^ Carro LP, Hernando MF, Cerezal L, Navarro IS, Fernandez AA, Castillo AO (2016). "Deep gluteal space problems: piriformis syndrome, ischiofemoral impingement and sciatic nerve release". Muscles Ligaments Tendons J. 6 (3): 384–396. doi:10.11138/mltj/2016.6.3.384. PMC 5193530. PMID 28066745.
  25. ^ Shoji K, Heng M, Harris MB, Appleton PT, Vrahas MS, Weaver MJ (September 2017). "Time From Injury to Surgical Fixation of Diaphyseal Humerus Fractures Is Not Associated With an Increased Risk of Iatrogenic Radial Nerve Palsy". J Orthop Trauma. 31 (9): 491–6. doi:10.1097/BOT.0000000000000875. PMID 28459772.
  26. ^ a b Lemos N, Possover M (July 2015). "Laparoscopic approach to intrapelvic nerve entrapments". J Hip Preserv Surg. 2 (2): 92–8. doi:10.1093/jhps/hnv030. PMC 4718483. PMID 27011825.
  27. ^ Muniz Neto FJ, Kihara Filho EN, Miranda FC, Rosemberg LA, Santos DC, Taneja AK (2018). "Demystifying MR Neurography of the Lumbosacral Plexus: From Protocols to Pathologies". Biomed Res Int. 2018: 9608947. doi:10.1155/2018/9608947. PMC 5832061. PMID 29662907.
  28. ^ Park MS, Yoon SJ, Jung SY, Kim SH (May 2016). "Clinical results of endoscopic sciatic nerve decompression for deep gluteal syndrome: mean 2-year follow-up". BMC Musculoskelet Disord. 17: 218. doi:10.1186/s12891-016-1062-3. PMC 4875686. PMID 27206482.
  29. ^ Metikala S, Sharma V (March 2022). "Endoscopic Sciatic Neurolysis for Deep Gluteal Syndrome: A Systematic Review". Cureus. 14 (3): e23153. doi:10.7759/cureus.23153. PMC 9010003. PMID 35444897.
  30. ^ Genova A, Dix O, Saefan A, Thakur M, Hassan A (March 2020). "Carpal Tunnel Syndrome: A Review of Literature". Cureus. 12 (3): e7333. doi:10.7759/cureus.7333. PMC 7164699. PMID 32313774.
  31. ^ Wiberg A, Ng M, Schmid AB, Smillie RW, Baskozos G, Holmes MV, Künnapuu K, Mägi R, Bennett DL, Furniss D (March 2019). "A genome-wide association analysis identifies 16 novel susceptibility loci for carpal tunnel syndrome". Nat Commun. 10 (1): 1030. Bibcode:2019NatCo..10.1030W. doi:10.1038/s41467-019-08993-6. PMC 6399342. PMID 30833571.
  32. ^ a b c Tang DT, Barbour JR, Davidge KM, Yee A, Mackinnon SE (January 2015). "Nerve entrapment: update". Plast Reconstr Surg. 135 (1): 199e – 215e. doi:10.1097/PRS.0000000000000828. PMID 25539328.
  33. ^ a b Mackinnon SE (May 2002). "Pathophysiology of nerve compression". Hand Clin. 18 (2): 231–41. doi:10.1016/s0749-0712(01)00012-9. PMID 12371026.
  34. ^ Schmid AB, Fundaun J, Tampin B (2020). "Entrapment neuropathies: a contemporary approach to pathophysiology, clinical assessment, and management". Pain Rep. 5 (4): e829. doi:10.1097/PR9.0000000000000829. PMC 7382548. PMID 32766466.
  35. ^ Labat JJ, Riant T, Robert R, Amarenco G, Lefaucheur JP, Rigaud J (2008). "Diagnostic criteria for pudendal neuralgia by pudendal nerve entrapment (Nantes criteria)". Neurourol Urodyn. 27 (4): 306–10. doi:10.1002/nau.20505. PMID 17828787.
  36. ^ a b Martin HD, Reddy M, Gómez-Hoyos J (July 2015). "Deep gluteal syndrome". J Hip Preserv Surg. 2 (2): 99–107. doi:10.1093/jhps/hnv029. PMC 4718497. PMID 27011826.
  37. ^ a b c Koscielniak-Nielsen ZJ (July 2008). "Ultrasound-guided peripheral nerve blocks: what are the benefits?". Acta Anaesthesiol Scand. 52 (6): 727–37. doi:10.1111/j.1399-6576.2008.01666.x. PMID 18477070.
  38. ^ a b Fritz J, Chhabra A, Wang KC, Carrino JA (February 2014). "Magnetic resonance neurography-guided nerve blocks for the diagnosis and treatment of chronic pelvic pain syndrome". Neuroimaging Clin N Am. 24 (1): 211–34. doi:10.1016/j.nic.2013.03.028. PMID 24210321.
  39. ^ Guay J, Suresh S, Kopp S (February 2019). "The use of ultrasound guidance for perioperative neuraxial and peripheral nerve blocks in children". Cochrane Database Syst Rev. 2019 (2): CD011436. doi:10.1002/14651858.CD011436.pub3. PMC 6395955. PMID 30820938.
  40. ^ Mohammadshahi M, Alipouri Sakha M, Esfandiari A, Shirvani M, Akbari Sari A (August 2019). "Cost Effectiveness of Mobile versus Fixed Computed Tomography and Magnetic Resonance Imaging: A Systematic Review". Iran J Public Health. 48 (8): 1418–27. PMC 7145907. PMID 32292724.
  41. ^ Sarracanie M, LaPierre CD, Salameh N, Waddington DE, Witzel T, Rosen MS (October 2015). "Low-Cost High-Performance MRI". Sci Rep. 5: 15177. Bibcode:2015NatSR...515177S. doi:10.1038/srep15177. PMC 4606787. PMID 26469756.
  42. ^ Matičič UB, Šumak R, Omejec G, Salapura V, Snoj Ž (June 2021). "Ultrasound-guided injections in pelvic entrapment neuropathies". J Ultrason. 21 (85): e139 – e146. doi:10.15557/JoU.2021.0023. PMC 8264816. PMID 34258039.
  43. ^ a b c Hernando MF, Cerezal L, Pérez-Carro L, Abascal F, Canga A (July 2015). "Deep gluteal syndrome: anatomy, imaging, and management of sciatic nerve entrapments in the subgluteal space". Skeletal Radiol. 44 (7): 919–34. doi:10.1007/s00256-015-2124-6. PMID 25739706.
  44. ^ a b c Filler AG, Haynes J, Jordan SE, Prager J, Villablanca JP, Farahani K, McBride DQ, Tsuruda JS, Morisoli B, Batzdorf U, Johnson JP (February 2005). "Sciatica of nondisc origin and piriformis syndrome: diagnosis by magnetic resonance neurography and interventional magnetic resonance imaging with outcome study of resulting treatment". J Neurosurg Spine. 2 (2): 99–115. doi:10.3171/spi.2005.2.2.0099. PMID 15739520.
  45. ^ Wiederhold BD, Garmon EH, Peterson E, et al. (29 April 2023). Nerve Block Anesthesia. StatPearls [Internet]. Treasure Island (FL): StatPearls Publishing. PMID 28613761. NBK431109.
  46. ^ Stoll G, Wilder-Smith E, Bendszus M (2013). "Imaging of the peripheral nervous system". Peripheral Nerve Disorders. Handbook of Clinical Neurology. Vol. 115. pp. 137–53. doi:10.1016/B978-0-444-52902-2.00008-4. ISBN 978-0-444-52902-2. PMID 23931778.
  47. ^ Ng AW, Griffith JF, Lee RK, Tse WL, Wong CW, Ho PC (February 2018). "Ultrasound carpal tunnel syndrome: additional criteria for diagnosis". Clin Radiol. 73 (2): 214.e11–214.e18. doi:10.1016/j.crad.2017.07.025. PMID 28859853.
  48. ^ van Rijn JC, Klemetso N, Reitsma JB, Majoie CB, Hulsmans FJ, Peul WC, Bossuyt PM, Heeten GJ, Stam J (September 2006). "Symptomatic and asymptomatic abnormalities in patients with lumbosacral radicular syndrome: Clinical examination compared with MRI". Clin Neurol Neurosurg. 108 (6): 553–7. doi:10.1016/j.clineuro.2005.10.003. PMID 16289310.
  49. ^ a b Weissman, Eric; Boothe, Ethan; Wadhwa, Vibhor; Scott, Kelly; Chhabra, Avneesh (1 June 2017). "Magnetic Resonance Neurography of the Pelvic Nerves". Seminars in Ultrasound, CT and MRI. 38 (3): 269–278. doi:10.1053/j.sult.2016.11.006. ISSN 0887-2171. PMID 28705371.
  50. ^ Lemos N, Melo HJ, Sermer C, Fernandes G, Ribeiro A, Nascimento G, Luo ZC, Girão MJ, Goldman SM (November 2021). "Lumbosacral plexus MR tractography: A novel diagnostic tool for extraspinal sciatica and pudendal neuralgia?". Magn Reson Imaging. 83: 107–113. doi:10.1016/j.mri.2021.08.003. PMID 34400289.
  51. ^ Cho SC, Ferrante MA, Levin KH, Harmon RL, So YT (August 2010). "Utility of electrodiagnostic testing in evaluating patients with lumbosacral radiculopathy: An evidence-based review". Muscle Nerve. 42 (2): 276–82. doi:10.1002/mus.21759. PMID 20658602.
  52. ^ Zelenski NA, Oishi T, Shin AY (April 2023). "Intraoperative Neuromonitoring for Peripheral Nerve Surgery". J Hand Surg Am. 48 (4): 396–401. doi:10.1016/j.jhsa.2022.11.022. PMID 36623946.
  53. ^ Anderson JC, Yamasaki DS (April 2016). "Intraoperative Nerve Monitoring During Nerve Decompression Surgery in the Lower Extremity". Clin Podiatr Med Surg. 33 (2): 255–66. doi:10.1016/j.cpm.2015.12.003. PMID 27013416.
  54. ^ Latko WA, Armstrong TJ, Franzblau A, Ulin SS, Werner RA, Albers JW (August 1999). "Cross-sectional study of the relationship between repetitive work and the prevalence of upper limb musculoskeletal disorders". Am J Ind Med. 36 (2): 248–59. doi:10.1002/(sici)1097-0274(199908)36:2<248::aid-ajim4>3.0.co;2-q. PMID 10398933.
  55. ^ Leibovitch I, Mor Y (March 2005). "The vicious cycling: bicycling related urogenital disorders". Eur Urol. 47 (3): 277–86, discussion 286–7. doi:10.1016/j.eururo.2004.10.024. PMID 15716187.
  56. ^ Ortiz-Corredor F, Enríquez F, Díaz-Ruíz J, Calambas N (June 2008). "Natural evolution of carpal tunnel syndrome in untreated patients". Clin Neurophysiol. 119 (6): 1373–8. doi:10.1016/j.clinph.2008.02.012. PMID 18396098.
  57. ^ Konstantinou K, Dunn KM, Ogollah R, Lewis M, van der Windt D, Hay EM (June 2018). "Prognosis of sciatica and back-related leg pain in primary care: the ATLAS cohort". Spine J. 18 (6): 1030–40. doi:10.1016/j.spinee.2017.10.071. PMC 5984249. PMID 29174459.
  58. ^ Sommer C, Klose P, Welsch P, Petzke F, Häuser W (January 2020). "Opioids for chronic non-cancer neuropathic pain. An updated systematic review and meta-analysis of efficacy, tolerability and safety in randomized placebo-controlled studies of at least 4 weeks duration". Eur J Pain. 24 (1): 3–18. doi:10.1002/ejp.1494. PMID 31705717.
  59. ^ Pinto RZ, Maher CG, Ferreira ML, Hancock M, Oliveira VC, McLachlan AJ, Koes B, Ferreira PH (December 2012). "Epidural corticosteroid injections in the management of sciatica: a systematic review and meta-analysis". Ann Intern Med. 157 (12): 865–77. doi:10.7326/0003-4819-157-12-201212180-00564. PMID 23362516.
  60. ^ Labat JJ, Riant T, Lassaux A, Rioult B, Rabischong B, Khalfallah M, Volteau C, Leroi AM, Ploteau S (January 2017). "Adding corticosteroids to the pudendal nerve block for pudendal neuralgia: a randomised, double-blind, controlled trial". BJOG. 124 (2): 251–260. doi:10.1111/1471-0528.14222. PMC 5215631. PMID 27465823.
  61. ^ Lang AM (March 2004). "Botulinum toxin type B in piriformis syndrome". Am J Phys Med Rehabil. 83 (3): 198–202. doi:10.1097/01.phm.0000113404.35647.d8. PMID 15043354.
  62. ^ Yan K, Xi Y, Hlis R, Chhabra A (January 2021). "Piriformis syndrome: pain response outcomes following CT-guided injection and incremental value of botulinum toxin injection". Diagn Interv Radiol. 27 (1): 126–133. doi:10.5152/dir.2020.19444. PMC 7837716. PMID 33252337.
  63. ^ Aurora SK, Dodick DW, Turkel CC, DeGryse RE, Silberstein SD, Lipton RB, Diener HC, Brin MF (July 2010). "OnabotulinumtoxinA for treatment of chronic migraine: results from the double-blind, randomized, placebo-controlled phase of the PREEMPT 1 trial". Cephalalgia. 30 (7): 793–803. doi:10.1177/0333102410364676. PMID 20647170.
  64. ^ Scholten RJ, Mink van der Molen A, Uitdehaag BM, Bouter LM, de Vet HC (October 2007). "Surgical treatment options for carpal tunnel syndrome". Cochrane Database Syst Rev. 2007 (4): CD003905. doi:10.1002/14651858.CD003905.pub3. PMC 6823225. PMID 17943805.
  65. ^ Possover M, Forman A (November 2015). "Pelvic Neuralgias by Neuro-Vascular Entrapment: Anatomical Findings in a Series of 97 Consecutive Patients Treated by Laparoscopic Nerve Decompression". Pain Physician. 18 (6): E1139–43. doi:10.36076/ppj.2015/18/E1139. PMID 26606029.
  66. ^ Martin HD, Shears SA, Johnson JC, Smathers AM, Palmer IJ (February 2011). "The endoscopic treatment of sciatic nerve entrapment/deep gluteal syndrome". Arthroscopy. 27 (2): 172–81. doi:10.1016/j.arthro.2010.07.008. PMID 21071168.
  67. ^ Jottard K, Bruyninx L, Bonnet P, De Wachter S (September 2020). "Endoscopic trans gluteal minimal-invasive approach for nerve liberation (ENTRAMI technique) in case of pudendal and/or cluneal neuralgia by entrapment: One-year follow-up". Neurourol Urodyn. 39 (7): 2003–7. doi:10.1002/nau.24462. PMID 32678485.
  68. ^ ElHawary H, Barone N, Baradaran A, Janis JE (February 2022). "Efficacy and Safety of Migraine Surgery: A Systematic Review and Meta-analysis of Outcomes and Complication Rates". Ann Surg. 275 (2): e315 – e323. doi:10.1097/SLA.0000000000005057. PMID 35007230.
  69. ^ Dellon AL (September 2015). "Pain with sitting related to injury of the posterior femoral cutaneous nerve". Microsurgery. 35 (6): 463–8. doi:10.1002/micr.22422. PMID 25917688.
  70. ^ Zacest AC, Magill ST, Anderson VC, Burchiel KJ (April 2010). "Long-term outcome following ilioinguinal neurectomy for chronic pain". J Neurosurg. 112 (4): 784–9. doi:10.3171/2009.8.JNS09533. PMID 19780646.
  71. ^ Scott BB, Winograd JM, Redmond RW (2022). "Surgical Approaches for Prevention of Neuroma at Time of Peripheral Nerve Injury". Front Surg. 9: 819608. doi:10.3389/fsurg.2022.819608. PMC 9271873. PMID 35832494.
  72. ^ Valerio IL, Dumanian GA, Jordan SW, Mioton LM, Bowen JB, West JM, Porter K, Ko JH, Souza JM, Potter BK (March 2019). "Preemptive Treatment of Phantom and Residual Limb Pain with Targeted Muscle Reinnervation at the Time of Major Limb Amputation". J Am Coll Surg. 228 (3): 217–226. doi:10.1016/j.jamcollsurg.2018.12.015. PMID 30634038.
  73. ^ a b Shim JH (August 2015). "Limitations of spinal cord stimulation for pain management". Korean J Anesthesiol. 68 (4): 321–2. doi:10.4097/kjae.2015.68.4.321. PMC 4524928. PMID 26257842.
  74. ^ Helm S, Shirsat N, Calodney A, Abd-Elsayed A, Kloth D, Soin A, Shah S, Trescot A (December 2021). "Peripheral Nerve Stimulation for Chronic Pain: A Systematic Review of Effectiveness and Safety". Pain Ther. 10 (2): 985–1002. doi:10.1007/s40122-021-00306-4. PMC 8586061. PMID 34478120.
  75. ^ Soffin EM, YaDeau JT (January 2017). "Peripheral Nerve Catheters: Ready for a Central Role?". Anesth Analg. 124 (1): 4–6. doi:10.1213/ANE.0000000000001642. PMID 27984306.
  76. ^ Uppal P, Wright TB, Dahbour L, Watterworth B, Lee SJ, Gattu K, Stansbury LG, Benoit J (2021). "Difficult removal of exposed peripheral nerve stimulator leads: a report of 2 cases". Pain Rep. 6 (3): e946. doi:10.1097/PR9.0000000000000946. PMC 8357246. PMID 34396018.
  77. ^ Schmid AB, Fundaun J, Tampin B (2020). "Entrapment neuropathies: a contemporary approach to pathophysiology, clinical assessment, and management". Pain Rep. 5 (4): e829. doi:10.1097/PR9.0000000000000829. PMC 7382548. PMID 32766466.
  78. ^ Papanicolaou GD, McCabe SJ, Firrell J (May 2001). "The prevalence and characteristics of nerve compression symptoms in the general population". J Hand Surg Am. 26 (3): 460–6. doi:10.1053/jhsu.2001.24972. PMID 11418908.
  79. ^ Atroshi I, Gummesson C, Johnsson R, Ornstein E, Ranstam J, Rosén I (July 1999). "Prevalence of carpal tunnel syndrome in a general population". JAMA. 282 (2): 153–8. doi:10.1001/jama.282.2.153. PMID 10411196.
  80. ^ Khedr EM, Fawi G, Allah Abbas MA, El-Fetoh NA, Zaki AF, Gamea A (2016). "Prevalence of Common Types of Compression Neuropathies in Qena Governorate/Egypt: A Population-Based Survey". Neuroepidemiology. 46 (4): 253–60. doi:10.1159/000444641. PMID 26974980.
  81. ^ van Hecke O, Austin SK, Khan RA, Smith BH, Torrance N (April 2014). "Neuropathic pain in the general population: a systematic review of epidemiological studies". Pain. 155 (4): 654–662. doi:10.1016/j.pain.2013.11.013. PMID 24291734.
  82. ^ Little KM, Zomorodi AR, Selznick LA, Friedman AH (April 2004). "An eclectic history of peripheral nerve surgery". Neurosurg Clin N Am. 15 (2): 109–23. doi:10.1016/j.nec.2003.12.002. PMID 15177311.
  83. ^ a b c Bartels RH (August 2001). "History of the surgical treatment of ulnar nerve compression at the elbow". Neurosurgery. 49 (2): 391–9, discussion 399–400. doi:10.1097/00006123-200108000-00023. PMID 11504115.
  84. ^ Stecco C, Aldegheri R (May 2008). "Historical review of carpal tunnel syndrome". Chir Organi Mov. 92 (1): 7–10. doi:10.1007/s12306-008-0033-8. PMID 18566759.
  85. ^ Rubin G, Orbach H, Bor N, Rozen N (October 2019). "Tardy Ulnar Nerve Palsy". J Am Acad Orthop Surg. 27 (19): 717–725. doi:10.5435/JAAOS-D-18-00138. PMID 30939566.
  86. ^ a b c PHALEN GS (April 1951). "Spontaneous compression of the median nerve at the wrist". J Am Med Assoc. 145 (15): 1128–33. doi:10.1001/jama.1951.02920330018006. PMID 14813903.
  87. ^ a b FEINDEL W, STRATFORD J (March 1958). "Cubital tunnel compression in tardy ulnar palsy". Can Med Assoc J. 78 (5): 351–3. PMC 1829685. PMID 13511308.
  88. ^ a b LAM SJ (December 1962). "A tarsal-tunnel syndrome". Lancet. 2 (7270): 1354–5. doi:10.1016/s0140-6736(62)91024-3. PMID 13928212.
  89. ^ Pearce JM (September 2007). "A brief history of sciatica". Spinal Cord. 45 (9): 592–6. doi:10.1038/sj.sc.3102080. PMID 17549075.
  90. ^ Kamath SU, Kamath SS (May 2017). "Lasègue's Sign". J Clin Diagn Res. 11 (5): RG01 – RG02. doi:10.7860/JCDR/2017/24899.9794. PMC 5483767. PMID 28658865.
  91. ^ HUNT JR. TARDY OR LATE PARALYSIS OF THE ULNAR NERVE: A FORM OF CHRONIC PROGRESSIVE NEURITIS DEVELOPING MANY YEARS AFTER FRACTURE DISLOCATION OF THE ELBOW JOINT. JAMA. 1916;LXVI(1):11–15. doi:10.1001/jama.1916.02580270015003
  92. ^ Mixter WJ, Barr JS (1964). "Rupture of the Intervertebral Disc with Involvement of the Spinal Canal". Journal of Neurosurgery. 21 (1): 74–81. doi:10.3171/jns.1964.21.1.0074.
  93. ^ Robinson DR (March 1947). "Pyriformis syndrome in relation to sciatic pain". Am J Surg. 73 (3): 355–8. doi:10.1016/0002-9610(47)90345-0. PMID 20289074.
  94. ^ ROGERS L (October 1949). "Upper-limb pain due to lesions of the thoracic outlet; the scalenus syndrome, cervical rib, and costoclavicular compression". Br Med J. 2 (4634): 956–8. doi:10.1136/bmj.2.4634.956. PMC 2051550. PMID 15400956.
  95. ^ Phalen GS, Gardner WJ, LA Londe AA (January 1950). "Neuropathy of the median nerve due to compression beneath the transverse carpal ligament". J Bone Joint Surg Am. 32A (1): 109–12. doi:10.2106/00004623-195032010-00011. PMID 15401727.
  96. ^ Patel SK, Markosian C, Choudhry OJ, Keller JT, Liu JK (November 2020). "The historical evolution of microvascular decompression for trigeminal neuralgia: from Dandy's discovery to Jannetta's legacy". Acta Neurochir (Wien). 162 (11): 2773–2782. doi:10.1007/s00701-020-04405-7. PMID 32519161.
  97. ^ GARDNER WJ (November 1962). "Concerning the mechanism of trigeminal neuralgia and hemifacial spasm". J Neurosurg. 19 (11): 947–58. doi:10.3171/jns.1962.19.11.0947. PMID 13946557.
  98. ^ Amarenco G, Lanoe Y, Perrigot M, Goudal H (March 1987). "[A new canal syndrome: compression of the pudendal nerve in Alcock's canal or perinal paralysis of cyclists]". Presse Med (in French). 16 (8): 399. PMID 2950502.
  99. ^ Dellon AL (February 1988). "A cause for optimism in diabetic neuropathy". Ann Plast Surg. 20 (2): 103–5. doi:10.1097/00000637-198802000-00001. PMID 3355053.
  100. ^ Howe FA, Filler AG, Bell BA, Griffiths JR (December 1992). "Magnetic resonance neurography". Magn Reson Med. 28 (2): 328–38. doi:10.1002/mrm.1910280215. PMID 1461131.
  101. ^ Labat JJ, Riant T, Robert R, Amarenco G, Lefaucheur JP, Rigaud J (2008). "Diagnostic criteria for pudendal neuralgia by pudendal nerve entrapment (Nantes criteria)". Neurourol Urodyn. 27 (4): 306–10. doi:10.1002/nau.20505. PMID 17828787.
  102. ^ Naraghi AM, Awdeh H, Wadhwa V, Andreisek G, Chhabra A (April 2015). "Diffusion tensor imaging of peripheral nerves". Semin Musculoskelet Radiol. 19 (2): 191–200. doi:10.1055/s-0035-1546824. PMID 25764243.
  103. ^ Simon NG, Lagopoulos J, Gallagher T, Kliot M, Kiernan MC (April 2016). "Peripheral nerve diffusion tensor imaging is reliable and reproducible". J Magn Reson Imaging. 43 (4): 962–9. doi:10.1002/jmri.25056. PMID 26397723.
  104. ^ Possover M, Forman A, Rabischong B, Lemos N, Chiantera V (2015). "Neuropelveology: New Groundbreaking Discipline in Medicine". J Minim Invasive Gynecol. 22 (7): 1140–1. doi:10.1016/j.jmig.2015.06.009. PMID 26099648.
  105. ^ Halpin RJ, Ganju A (October 2009). "Piriformis syndrome: a real pain in the buttock?". Neurosurgery. 65 (4 Suppl): A197–202. doi:10.1227/01.NEU.0000335788.45495.0C. PMID 19927068.
  106. ^ a b Stav K, Dwyer PL, Roberts L (March 2009). "Pudendal neuralgia. Fact or fiction?". Obstet Gynecol Surv. 64 (3): 190–9. doi:10.1097/ogx.0b013e318193324e. PMID 19238769.
  107. ^ Stewart JD (November 2003). "The piriformis syndrome is overdiagnosed". Muscle Nerve. 28 (5): 644–6. doi:10.1002/mus.10483. PMID 14571471.
  108. ^ a b Tiel RL, Kline DG (July 2006). "Piriformis syndrome". J Neurosurg Spine. 5 (1): 102–4, author reply 104–8. doi:10.3171/spi.2006.5.1.102. PMID 16850969.
  109. ^ Fishman LM, Schaefer MP (November 2003). "The piriformis syndrome is underdiagnosed". Muscle Nerve. 28 (5): 646–9. doi:10.1002/mus.10482. PMID 14571472.
  110. ^ de Ru JA (April 2016). "Migraine Trigger Site Surgery is All Placebo". Headache. 56 (4): 776–8. doi:10.1111/head.12813. PMID 27092535.
  111. ^ Hagan RR, Fallucco MA, Janis JE (July 2016). "Supraorbital Rim Syndrome: Definition, Surgical Treatment, and Outcomes for Frontal Headache". Plast Reconstr Surg Glob Open. 4 (7): e795. doi:10.1097/GOX.0000000000000802. PMC 4977123. PMID 27536474.
  112. ^ Kizaki K, Uchida S, Shanmugaraj A, Aquino CC, Duong A, Simunovic N, Martin HD, Ayeni OR (October 2020). "Deep gluteal syndrome is defined as a non-discogenic sciatic nerve disorder with entrapment in the deep gluteal space: a systematic review". Knee Surg Sports Traumatol Arthrosc. 28 (10): 3354–64. doi:10.1007/s00167-020-05966-x. PMID 32246173.