Dermatomyositis

Dermatomyositis
Discrete red areas overlying the knuckles in a person with juvenile dermatomyositis. These are known as Gottron's papules.
SpecialtyRheumatology
SymptomsRash, muscle weakness, weight loss, fever[1]
ComplicationsCalcinosis, dysphagia, interstitial lung disease, heart disease (rarely), joint pain, other autoimmune conditions
Usual onset40s to 50s[2]
DurationLong term[1]
CausesAutoimmune (Type III hypersensitivity)
Risk factorsOther autoimmune conditions, ovarian cancer, breast cancer, lung cancer, other cancers
Diagnostic methodBased on symptoms, blood tests, electromyography, muscle biopsies[2]
Differential diagnosisPolymyositis, inclusion body myositis, scleroderma[2]
TreatmentMedication, physical therapy, exercise, heat therapy, orthotics, assistive devices, rest[1]
MedicationCorticosteroids, methotrexate, azathioprine[1]
Frequency~ 1 per 100,000 people per year[2]

Dermatomyositis (DM) is a long-term inflammatory autoimmune disorder which affects the skin and the muscles. Its symptoms are generally a skin rash and worsening muscle weakness over time. These may occur suddenly or develop over months. Other symptoms may include weight loss, fever, lung inflammation, or light sensitivity. Complications may include calcium deposits in muscles or skin.[3][1]

Dermatomyositis is an autoimmune disorder featuring both humoral and T-cell autoimmune processes.[3] Dermatomyositis may develop as a paraneoplastic syndrome associated with several forms of malignancy.[4] It is known to be associated with several viruses, especially coxsackievirus, but no definitive causal link has been found.[3] Dermatomyositis is considered a type of inflammatory myopathy.[1] Diagnosis is typically based on some combination of symptoms, blood tests, electromyography, and muscle biopsies.[2] Eighty percent of adults[5] and sixty percent of children with juvenile dermatomyositis have a myositis-specific antibody (MSA).[6]

Although no cure for the condition is known, treatments generally improve symptoms.[1] Treatments may include medication, physical therapy, exercise, heat therapy, orthotics, assistive devices, and rest.[1] Medications in the corticosteroids family are typically used with other agents such as methotrexate or azathioprine recommended if steroids are not working well.[1] Intravenous immunoglobulin may also improve outcomes.[1] Most people improve with treatment and in some, the condition resolves completely.[1]

About one in 100,000 people receive a new diagnosis of dermatomyositis each year.[2] The condition usually occurs in those in their 40s and 50s with women being affected more often than men.[2] People of any age, however, may be affected.[2] The condition was first described in the 1800s.[7]

Signs and symptoms

The main symptoms include several kinds of skin rash along with muscle weakness in both upper arms or thighs.[8] Although dermatomyositis is closely related to polymyositis and is sometimes assumed to be a complication of that disease, most patients with dermatomyositis develop skin symptoms before any muscle involvement.[3]

Skin

One form the rashes take is called "heliotrope" (a purplish color) or lilac, but may also be red. It can occur around the eyes along with swelling, but also occurs on the upper chest or back what is called the "shawl" (around the neck) or "V-sign" above the breasts and may also occur on the face, upper arms, thighs, or hands.[9] Another form the rash takes is called Gottron's sign, which is red or violet, sometimes scaly, slightly raised papules that erupt on any of the finger joints (the metacarpophalangeal joints or the interphalangeal joints).[9][10] Gottron's papules may also be found over other bony prominences including the elbows, knees, or feet. All these rashes are made worse by exposure to sunlight, and are often very itchy, painful, and may bleed.[10]

If a person exhibits only skin findings characteristic of DM, without weakness or abnormal muscle enzymes, then he or she may be experiencing amyopathic dermatomyositis (ADM), formerly known as "dermatomyositis sine myositis".[11]

Muscles

People with DM experience progressively worsening muscle weakness in the proximal muscles (for example, the shoulders and thighs).[12] Tasks that use these muscles: standing from sitting, lifting, and climbing stairs, can become increasingly difficult for people with dermatomyositis.[12]

Respiratory

In some people, the condition affects the diaphragm muscle, the lungs directly (through inflammation), or both. This causes difficulty breathing, and dermatomyositis is considered to be a restrictive lung disease in patients with these symptoms. Respiratory symptoms occur in about 40% of people with dermatomyositis, and in these people, the symptoms may slowly progress and frequently are identified as an eventual cause of death. The main driver of respiratory failure in most of these patients is the damage to the lung interstitia, rather than diaphragm weakness.[3]

Cardiac

In dermatomyositis, many patients have mild myocarditis and cardiac conduction system abnormalities which may be detected if the patient undergoes special testing. However, these abnormalities typically have no symptoms or clinical consequences.[3] In a study of 26 patients with dermatomyositis or polymyositis, only one patient reported chest pain.[13]

More rarely, these abnormalities can cause greater issues and lead to arrhythmias, heart failure, or damage to heart valves.[3] For those dermatomyositis patients who do have cardiac symptoms caused by the disease, their clinical course may be much worse than usual.[14]

Other

Around 30% of people have swollen, painful joints, but this is generally mild.[15]

Later in the course of the disease, patients often experience difficulty swallowing, called dysphagia, which makes it hard to move food from the mouth to the stomach. The muscles of the esophagus may become weak, leading to reduced or irregular movements that prevent proper swallowing. Additionally, individuals might suffer from gastroesophageal reflux disease (GERD), where stomach acid flows back into the esophagus, causing heartburn and irritation.[3]

Causes

The pathogenesis of dermatomyositis involves an autoimmune-mediated process characterized by immune complex deposition and complement activation, leading to microangiopathy in both muscle and skin tissues. The specific mechanism of tissue injury is variable, depending on the specific autoantibodies and immune cell types involved.[16] The microangiopathy has a non-uniform pattern: within a single muscle fiber, some capillaries may be heavily affected while others seem to be unharmed.[17]

In contrast to polymyositis, which pathologically centers on damage to the endomysium of muscle fibers, dermatomyositis damages both the endomysium and the perimysium. This indicates that tissue damage from dermatomyositis is not limited to the capillaries and the tissues immediately surrounding them; it also damages the larger vessels of the muscle fibers and skin tissue, potentially causing wider structural damage.[17]

The complement system plays a crucial role in the tissue injury of dermatomyositis, through the formation and deposition of immune complexes. Autoantibodies target muscle and skin antigens, leading to the activation of the classical complement pathway, ultimately forming the membrane attack complex (MAC) on the endothelial cells of microvasculature.[3] MAC causes direct endothelial cell damage by perforating the cell membrane and ultimately lysing (destroying) the cell due to osmotic effects.[18] The destruction of vascular endothelium results in increased vascular permeability, furthering the pro-inflammatory immune cell infiltration of the tissue, and also results in tissue ischemia due to the lack of blood flow. Additionally, complement fragments facilitate the recruitment and activation of inflammatory cells like macrophages and T lymphocytes, further driving the inflammatory response and resulting damage to local tissue. However, the specific sequence of complement activation is not completely understood and may depend on the pathological subtype of the disease.[3][19]

As many as 40% of cases of dermatomyositis are paraneoplastic manifestations of an underlying cancer.[3] The most commonly associated cancers are ovarian cancer, breast cancer, and lung cancer overall,[20] but the most frequent associations can vary depending on patient race or ethnicity.[3]

Inherited genetic factors play at least a partial role in developing the disease, and HLA subtypes HLA-DR3, HLA-DR52, and HLA-DR6 seem to create a disposition to autoimmune dermatomyositis.[15]

Diagnosis

Calcification from dermatomyositis
X-Ray of the knee in a person with dermatomyositis.
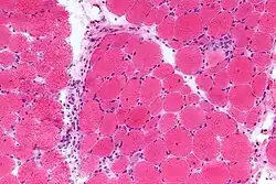
Micrograph of dermatomyositis, muscle biopsy, H&E stain

The diagnosis of dermatomyositis is based on five criteria, which are also used to differentially diagnose with respect to polymyositis:[11]

  1. Muscle weakness in both thighs or both upper arms
  2. Using a blood test, finding higher levels of enzymes found in skeletal muscle, including creatine kinase, aldolase, and glutamate oxaloacetate, pyruvate transaminases and lactate dehydrogenase
  3. Using electromyography (testing of electric signalling in muscles), finding all three of: erratic, repetitive, high-frequency signals; short, low-energy signals between skeletal muscles and motor neurons that have multiple phases; and sharp activity when a needle is inserted into the muscle
  4. Examining a muscle biopsy under a microscope and finding mononuclear white blood cells between the muscle cells, and finding abnormal muscle cell degeneration and regeneration, dying muscle cells, and muscle cells being consumed by other cells (phagocytosis)
  5. Rashes typical of dermatomyositis, which include heliotrope rash, Gottron sign, and Gottron papules

The fifth criterion is what differentiates dermatomyositis from polymyositis; the diagnosis is considered definite for dermatomyositis if three of items 1 through 4 are present in addition to 5, probable with any two in addition to 5, and possible if just one is present in addition to 5.[11]

Dermatomyositis is associated with autoantibodies, especially antinuclear antibodies (ANA).[15] Around 80% of people with DM test positive for ANA and around 30% of people have myositis-specific autoantibodies which include antibodies to aminoacyl-tRNA synthetases (anti-synthetase antibodies), including antibodies against histidine—tRNA ligase (Anti-Jo1); antibodies to signal recognition particle (SRP); and anti-Mi-2 antibodies.[15]

Magnetic resonance imaging may be useful to guide muscle biopsy and to investigate involvement of internal organs;[21] X-ray may be used to investigate joint involvement and calcifications.[22]

A given case of dermatomyositis may be classified as amyopathic dermatomyositis if only skin is affected and no muscle weakness for longer than 6 months is seen according to one 2016 review,[11] or two years according to another.[10]

Classification

Dermatomyositis is a form of systemic connective tissue disorder, a class of diseases that often involves autoimmune dysfunction.[15][23]

It has also been classified as an idiopathic inflammatory myopathy, along with polymyositis, necrotizing autoimmune myositis, cancer-associated myositis, and sporadic inclusion body myositis.[24]

A form of this disorder that occurs prior to adulthood is known as juvenile dermatomyositis.[25]

Treatment

No cure for dermatomyositis is known, but the symptoms can be treated. Options include medication, physical therapy, exercise, heat therapy (including microwave and ultrasound), orthotics and assistive devices, and rest. The standard treatment for dermatomyositis is a corticosteroid drug, given either in pill form or intravenously. Immunosuppressant drugs, such as azathioprine and methotrexate, may reduce inflammation in people who do not respond well to prednisone. Periodic treatment using intravenous immunoglobulin can also improve recovery. Other immunosuppressive agents used to treat the inflammation associated with dermatomyositis include cyclosporine A, cyclophosphamide, and tacrolimus.[26]

Physical therapy is usually recommended to prevent muscle atrophy and to regain muscle strength and range of motion. Many individuals with dermatomyositis may need a topical ointment, such as topical corticosteroids, for their skin disorder. They should wear high-protection sunscreen and protective clothing. Surgery may be required to remove calcium deposits that cause nerve pain and recurrent infections.[27]

Antimalarial medications, especially hydroxychloroquine and chloroquine, are used to treat the rashes, as is done for similar conditions.[10]

Rituximab is used when people do not respond to other treatments.[28][29]

As of 2016, treatments for amyopathic dermatomyositis in adults did not have a strong evidence base; published treatments included antimalarial medications, steroids, taken or orally or applied to the skin, calcineurin inhibitors applied to the skin, dapsone, intravenous immunoglobulin, methotrexate, azathioprine, and mycophenolate mofetil. None appears to be very effective; among them, intravenous immunoglobulin has had the best outcomes.[11]

Prognosis

The cutaneous manifestations of dermatomyositis may or may not improve with therapy in parallel with the improvement of the myositis. In some people, the weakness and rash resolve together. In others, the two are not linked, with one or the other being more challenging to control. Often, cutaneous disease persists after adequate control of the muscle disease.[30][31]

The risk of death from the condition is much higher if the heart or lungs are affected.[24][27]

Before the advent of modern treatments such as prednisone, intravenous immunoglobulin, plasmapheresis, chemotherapies, and other drugs, the prognosis was poor.[32]

Epidemiology

Incidence of DM peaks at ages 40–50, but the disease can affect people of all ages.[33][2] It tends to affect more women than men.[2] The prevalence of DM ranges from one to 22 per 100,000 people.[34][35][36]

History

The diagnostic criteria were proposed in 1975 and became widely adopted.[10][37] Amyopathic DM, also called DM sine myositis, was named in 2002.[10]

People who were affected with dermatomyositis

Research

As of 2016, research was ongoing into causes for DM, as well as biomarkers;[44] clinical trials were ongoing for use of the following drugs in DM: ajulemic acid (Phase II), adrenocorticotropic hormone gel (Phase IV, open label), IMO-8400, an antagonist of Toll-like receptor 7,8 and 9 (Ph II), abatacept (Phase IV, open label), and sodium thiosulfate (Phase II).[10]

References

  1. ^ a b c d e f g h i j k "Dermatomyositis". GARD. 2017. Archived from the original on 5 July 2017. Retrieved 13 July 2017.
  2. ^ a b c d e f g h i j "Dermatomyositis". NORD (National Organization for Rare Disorders). 2015. Archived from the original on 19 February 2017. Retrieved 13 July 2017.
  3. ^ a b c d e f g h i j k l Didona D, Solimani F, Caposiena Caro RD, Sequeira Santos AM, Hinterseher J, Kussini J, et al. (April 2023). "Dermatomyositis: a comprehensive review of clinical manifestations, serological features, and therapeutic approaches". Italian Journal of Dermatology and Venereology. 158 (2): 84–98. doi:10.23736/S2784-8671.23.07458-3. PMID 37153943.
  4. ^ Tudorancea AD, Ciurea PL, Vreju AF, Turcu-Stiolica A, Gofita CE, Criveanu C, et al. (July 2021). "A Study on Dermatomyositis and the Relation to Malignancy". Current Health Sciences Journal. 47 (3): 377–382. doi:10.12865/CHSJ.47.03.07. PMC 8679146. PMID 35003769.
  5. ^ Tansley SL, McHugh NJ, Wedderburn LR (April 2013). "Adult and juvenile dermatomyositis: are the distinct clinical features explained by our current understanding of serological subgroups and pathogenic mechanisms?". Arthritis Research & Therapy. 15 (2): 211. doi:10.1186/ar4198. PMC 3672700. PMID 23566358. Myositis-specific autoantibodies (MSAs) can now be identified in 80% of adults.
  6. ^ Papadopoulou C, Chew C, Wilkinson MG, McCann L, Wedderburn LR (June 2023). "Juvenile idiopathic inflammatory myositis: an update on pathophysiology and clinical care". Nature Reviews. Rheumatology. 19 (6): 343–362. doi:10.1038/s41584-023-00967-9. PMC 10184643. PMID 37188756. Approximately 60% of patients with JDM are positive for a myositis-specific antibody (MSA).
  7. ^ "History of Dermatomyositis". Dermatomyositis. 2009. pp. 5–8. doi:10.1007/978-3-540-79313-7_2. ISBN 978-3-540-79312-0.
  8. ^ Callen JP, Wortmann RL (September 2006). "Dermatomyositis". Clinics in Dermatology. 24 (5): 363–373. doi:10.1016/j.clindermatol.2006.07.001. PMID 16966018.
  9. ^ a b Callen JP (June 2010). "Cutaneous manifestations of dermatomyositis and their management". Current Rheumatology Reports. 12 (3): 192–197. doi:10.1007/s11926-010-0100-7. PMID 20425525. S2CID 29083422.
  10. ^ a b c d e f g Kuhn A, Landmann A, Bonsmann G (October 2016). "The skin in autoimmune diseases-Unmet needs". Autoimmunity Reviews. 15 (10): 948–954. doi:10.1016/j.autrev.2016.07.013. PMID 27481041.
  11. ^ a b c d e Callander J, Robson Y, Ingram J, Piguet V (December 2018). "Treatment of clinically amyopathic dermatomyositis in adults: a systematic review". The British Journal of Dermatology. 179 (6): 1248–1255. doi:10.1111/bjd.14726. PMID 27167896. S2CID 45638288.
  12. ^ a b Dalakas MC (April 2015). "Inflammatory muscle diseases". The New England Journal of Medicine. 372 (18): 1734–1747. doi:10.1056/NEJMra1402225. PMID 25923553. S2CID 37761391.
  13. ^ Taylor AJ, Wortham DC, Burge JR, Rogan KM (November 1993). "The heart in polymyositis: a prospective evaluation of 26 patients". Clinical Cardiology. 16 (11): 802–808. doi:10.1002/clc.4960161110. PMID 8269658.
  14. ^ Trybuch A, Tarnacka B (2 July 2023). "Cardiac involvement in polymyositis and dermatomyositis: diagnostic approaches". Reumatologia. 61 (3): 202–212. doi:10.5114/reum/168362. PMC 10373167. PMID 37522146.
  15. ^ a b c d e Hajj-ali RA (June 2013). "Polymyositis and Dermatomyositis – Musculoskeletal and Connective Tissue Disorders". Merck Manuals Professional Edition. Archived from the original on 12 October 2015.
  16. ^ Tanboon J, Inoue M, Saito Y, Tachimori H, Hayashi S, Noguchi S, et al. (February 2022). "Dermatomyositis: Muscle Pathology According to Antibody Subtypes". Neurology. 98 (7): e739 – e749. doi:10.1212/WNL.0000000000013176. PMC 8865893. PMID 34873015.
  17. ^ a b Pestronk A, Schmidt RE, Choksi R (July 2010). "Vascular pathology in dermatomyositis and anatomic relations to myopathology". Muscle & Nerve. 42 (1): 53–61. doi:10.1002/mus.21651. PMID 20544925.
  18. ^ Xie CB, Jane-Wit D, Pober JS (June 2020). "Complement Membrane Attack Complex: New Roles, Mechanisms of Action, and Therapeutic Targets". The American Journal of Pathology. 190 (6): 1138–1150. doi:10.1016/j.ajpath.2020.02.006. PMC 7280757. PMID 32194049.
  19. ^ Luo YB, Mastaglia FL (April 2015). "Dermatomyositis, polymyositis and immune-mediated necrotising myopathies". Biochimica et Biophysica Acta (BBA) - Molecular Basis of Disease. Neuromuscular Diseases: Pathology and Molecular Pathogenesis. 1852 (4): 622–632. doi:10.1016/j.bbadis.2014.05.034. PMID 24907561.
  20. ^ Di Rollo D, Abeni D, Tracanna M, Capo A, Amerio P (October 2014). "Cancer risk in dermatomyositis: a systematic review of the literature". Giornale Italiano di Dermatologia e Venereologia. 149 (5): 525–537. PMID 24975953.
  21. ^ Simon JP, Marie I, Jouen F, Boyer O, Martinet J (14 June 2016). "Autoimmune Myopathies: Where Do We Stand?". Frontiers in Immunology. 7: 234. doi:10.3389/fimmu.2016.00234. PMC 4905946. PMID 27379096.
  22. ^ Ramos-E-Silva M, Lima Pinto AP, Pirmez R, Cuzzi T, Carneiro S (1 October 2016). "Dermatomyositis-Part 2: Diagnosis, Association With Malignancy, and Treatment". Skinmed. 14 (5): 354–358. PMID 27871347.
  23. ^ "ICD-10 Systemic connective tissue disorders (M30-M36)". WHO. Archived from the original on 8 February 2017. Retrieved 9 December 2016.
  24. ^ a b Danieli MG, Gelardi C, Guerra F, Cardinaletti P, Pedini V, Gabrielli A (May 2016). "Cardiac involvement in polymyositis and dermatomyositis". Autoimmunity Reviews. 15 (5): 462–465. doi:10.1016/j.autrev.2016.01.015. PMID 26826433.
  25. ^ Feldman BM, Rider LG, Reed AM, Pachman LM (June 2008). "Juvenile dermatomyositis and other idiopathic inflammatory myopathies of childhood". Lancet. 371 (9631): 2201–2212. doi:10.1016/S0140-6736(08)60955-1. PMID 18586175. S2CID 205951454.
  26. ^ "Dermatomyositis (DM)". The Lecturio Medical Concept Library. Retrieved 11 July 2021.
  27. ^ a b "Dermatomyositis Information". National Institute of Neurological Disorders and Stroke. 27 July 2015. Archived from the original on 2 December 2016.
  28. ^ Malik A, Hayat G, Kalia JS, Guzman MA (20 May 2016). "Idiopathic Inflammatory Myopathies: Clinical Approach and Management". Frontiers in Neurology. 7: 64. doi:10.3389/fneur.2016.00064. PMC 4873503. PMID 27242652.
  29. ^ Wright NA, Vleugels RA, Callen JP (January 2016). "Cutaneous dermatomyositis in the era of biologicals". Seminars in Immunopathology. 38 (1): 113–121. doi:10.1007/s00281-015-0543-z. PMID 26563285. S2CID 7104535.
  30. ^ "Dermatomyositis". Genetic and Rare Diseases Information Center (GARD). Retrieved 11 July 2021.
  31. ^ "Dermatomyositis". Johns Hopkins Medicine. 19 November 2019. Retrieved 11 July 2021.
  32. ^ Page 285 in: Thomson and Cotton Lecture Notes in Pathology, Blackwell Scientific. Third Edition
  33. ^ Tymms KE, Webb J (December 1985). "Dermatopolymyositis and other connective tissue diseases: a review of 105 cases". The Journal of Rheumatology. 12 (6): 1140–1148. PMID 4093921.
  34. ^ Cooper GS, Stroehla BC (May 2003). "The epidemiology of autoimmune diseases". Autoimmunity Reviews. 2 (3): 119–125. doi:10.1016/s1568-9972(03)00006-5. PMID 12848952.
  35. ^ Bernatsky S, Joseph L, Pineau CA, Bélisle P, Boivin JF, Banerjee D, et al. (July 2009). "Estimating the prevalence of polymyositis and dermatomyositis from administrative data: age, sex and regional differences". Annals of the Rheumatic Diseases. 68 (7): 1192–1196. doi:10.1136/ard.2008.093161. PMID 18713785. S2CID 21500536.
  36. ^ Bendewald MJ, Wetter DA, Li X, Davis MD (January 2010). "Incidence of dermatomyositis and clinically amyopathic dermatomyositis: a population-based study in Olmsted County, Minnesota". Archives of Dermatology. 146 (1): 26–30. doi:10.1001/archdermatol.2009.328. PMC 2886726. PMID 20083689.
  37. ^ Bohan A, Peter JB (February 1975). "Polymyositis and dermatomyositis (first of two parts)". The New England Journal of Medicine. 292 (7): 344–347. doi:10.1056/nejm197502132920706. PMID 1090839. and Bohan A, Peter JB (February 1975). "Polymyositis and dermatomyositis (second of two parts)". The New England Journal of Medicine. 292 (8): 403–407. doi:10.1056/nejm197502202920807. PMID 1089199.
  38. ^ "Greek Reporter: 'Maria Callas did not kill herself from grief for Onassis, a rare disease cost her career and life'". GR Reporter. 28 December 2010. Archived from the original on 4 January 2015. Retrieved 1 January 2015.
  39. ^ "Laurence Olivier Dies: 'The Rest Is Silence'". People Magazine. 24 July 1989. Archived from the original on 10 March 2011. Retrieved 16 July 2012.
  40. ^ "Forgotten: Ricky Bell". Pro Football Weekly. 8 January 2010. Archived from the original on 11 January 2010. Retrieved 26 January 2010.
  41. ^ Jones T (12 October 2011). "Rob Buckman obituary". The Guardian. Archived from the original on 1 October 2013. Retrieved 16 July 2012.
  42. ^ "'Dangal' actor Suhani Bhatnagar succumbs to dermatomyositis: Know about this rare condition". The Times of India. 18 February 2024.
  43. ^ "Mickey Rooney's Son Timothy Dies at 59". Fox News. 27 September 2006.
  44. ^ Ramos-E-Silva M, Pinto AP, Pirmez R, Cuzzi T, Carneiro SC (1 August 2016). "Dermatomyositis--Part 1: Definition, Epidemiology, Etiology and Pathogenesis, and Clinics". Skinmed. 14 (4): 273–279. PMID 27784516.

Public Domain This article incorporates public domain material from NINDS Dermatomyositis Information Page. United States Department of Health and Human Services. Retrieved 12 December 2016.